❤️PROMOCIÓN DE SAN VALENTÍN❤️
Inicia tu tratamiento de Ortodoncia y le damos un 100% de descuento a tu pareja para una limpieza dental
❤️PROMOCIÓN SAN VALENTÍN:
Inicia tu tratamiento de Ortodoncia y le damos un 100% de descuento a tu pareja para una limpieza dental


Cra. 14 #76 - 11, Bogotá, Colombia
★★★★★ Calificados como "Excelente" en Google (126 reseñas)


La sonrisa perfecta que siempre soñaste a unos clicks de distancia
Especialistas en Ortodoncia® en Chapinero Bogotá
Con nuestra valoración de Ortodoncia® 100% Virtual a precio accesible, consultarás con uno de nuestros expertos para diagnósticar cual es el tratamiento perfecto para ti y cuanto tiempo dura, antes de comprometerte.
☑ Brackets Tradicionales
☑ Alineadores dentales
☑ Invisalign
☑ Brackets de Autoligado
☑ Brackets Linguales


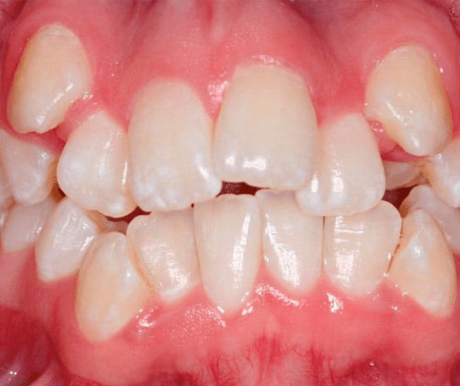
Dientes torcidos, inclinados o fuera de su posición correcta.

Falta de espacio que provoca que los dientes se encimen o roten.

Los dientes superiores muerden por dentro de los inferiores.

Los dientes no contactan al cerrar la boca, dificultando masticación y habla.

Los dientes superiores cubren en exceso a los inferiores.

Dolor mandibular, dificultad para masticar o problemas en la articulación temporomandibular.
99%
Satisfacción al cliente
+5,000
Pacientes atendidos
+25
Años de experiencia
99%
Satisfacción al cliente
+5,000
Pacientes atendidos
+25
Años de experiencia
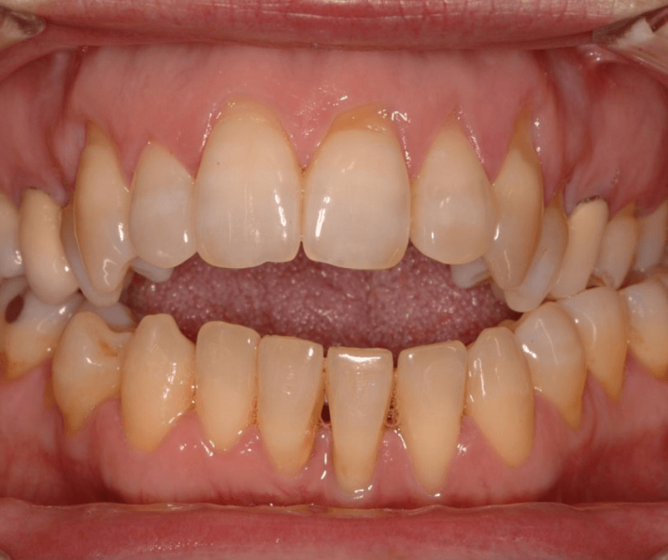
Con más de 5,000 casos atendidos, nuestros resultados antes y después son los que hablan por ellos

Laura Sofía, Medellin, Ortodoncia estética (1año y medio de tratamiento)

Paola Andrea, Bogotá, Ortodoncia estética (2 años y 2 meses de tratamiento)

Natalia Vannesa, Bogotá, Ortodoncia invisible (1 año y medio de tratamiento)

Andrés Felipe, Medellin, Ortodoncia lingual (2 años y medio de tratamiento)

Christopher Díaz, Miami, Ortodoncia invisible (2 años de tratamiento)

María Fernanda, Bogotá, Ortodoncia estética (2 años de tratamiento)





Podriamos decir que somos la mejor clínica dental de Bogotá, pero lo que nos hace realmente diferentes va más allá de solo mejorar las sonrisas de nuestros pacientes

Algo que nos caracteriza a comparación de cualquier otra clínica dental es que nos especializamos en la comunicación del lenguaje de señas para poder comprender a la perfección a todos nuestros pacientes.

En Alma Odontología nos preocupamos de hacer una experiencia tu visita al dentista, por ello nos encargamos de resolver cualquier tipo de duda que tengas al respecto de todo el proceso de tu tratamiento.

Sabemos que es muy agotador y muy costoso estar dando miles de vueltas hasta la clínica, es por eso que te facilitamos tu cita de diagnóstico con una videollamada para que evites el tener que trasladarte.

Tu valoración de diagnóstico 100% virtual...
Descubre exactamente como podemos transformar tu sonrisa sin la necesidad de salir de tu casa. En una videollamada de solo 30 minutos, uno de nuestros expertos en Alma Odontología va a atenderte y a responder cualquiera de tus dudas.

◉¿La Ortodoncia va a funcionar para mis dientes? - Y que tratamiento me dará los mejores resultados
◉¿En cuánto tiempo veré una diferencia? - y cuando puedo esperar a mi nueva sonrisa
◉¿Cómo se verá mi nueva sonrisa? - con una proyección antes de comprometerte al tratamiento
◉¿Cuánto va a costar? - Más opciones de pago para que se ajuste a tu presupuesto

Saber cual tratamiento de Ortodoncia es el ideal para ti

Ver los resultados potenciales antes de aceptar el tratamiento

Saber exactamente que esperar de ello y cuanto tiempo durará

Obtenga una idea clara de los costos de los tratamientos


Saber cual tratamiento de Ortodoncia es el ideal para ti

Ver los resultados potenciales antes de aceptar el tratamiento

Saber exactamente que esperar de ello y cuanto tiempo durará

Obtenga una idea clara de los costos de los tratamientos

Nosotros te orientamos durante el proceso
Te explicamos de forma detallada el cuando y porque necesitas un tratamiento de ortodoncia para que te sientas acompañado en cada etapa del proceso
Sabemos que el mejor regalo es cuidar de los que más amamos. Por eso en Alma Odontología te damos una promoción especial del amor y la amistad
Al iniciar cualquiera de nuestros tratamientos de Ortodoncia, le damos el 100% de descuento por una limpieza dental a tu pareja. No dejes pasar esta oportunidad que es por tiempo limitado.

Estos no son los precios definitivos de nuestros tratamientos, ya que para poder determinar la cotización primero tienes que realizar una valoración con nosotros para asignar el precio exacto del tratamiento
Ortodoncia Tradicional
Consiste en el uso de brackets metálicos para correcciones dentales, ideales para quienes buscan un tratamiento más tradicional y de precio accesible.
Precio desde
$
¿Qué incluye?
Control ortodoncia tradicional
Férulas deportivas
Reparación bracket tradicional
Tratamiento de ortodoncia tradicional
Muchos más...
Ortodoncia Invisible
Es una alternativa ideal para las personas que buscan un tratamiento discreto y cómodo, fácil de retirar y sin afectar el habla.
Precio desde
$
6,000,000
pesos colombianos
¿Qué incluye?
Tratamiento con alineadores
Placa para alineación
Planeación 3D
Tratamiento de ortodoncia invisible complejo
Reposición placa clear correct
Muchos más...
Ortodoncia Tradicional
Consiste en el uso de brackets metálicos para correcciones dentales, ideales para quienes buscan un tratamiento más tradicional y de precio accesible.
Precio desde
$
4,500,000
pesos colombianos
¿Qué incluye?
Control ortodoncia tradicional
Férulas deportivas
Reparación bracket tradicional
Tratamiento de ortodoncia tradicional
Muchos más...
Ortodoncia Estética
Ideal para personas que buscan un tratamiento estético y de precio accesible para poder lograr la sonrisa que tanto deseas.
Precio desde
$
6,500,000
pesos colombianos
¿Qué incluye?
Tratamiento de ortodoncia estética
Control ortodoncia estética
Cementación de brackets estéticos
Retenedor estético
Muchos más...
Ortodoncia Lingual
Es una alternativa para las personas que buscan un tratamiento que no sea visible y te permita sonreir con tranquilidad.
Precio desde
$
8,500,000
pesos colombianos
¿Qué incluye?
Reparación bracket lingual
Cementación brackets linguales
Control ortodoncia lingual
Tratamiento ortodoncia lingual
Muchos más...
Ortodoncia Autoligado
Ideal para las personas que buscan un tratamiento con mucho mayor movilidad, cómodo y de facil higiene.
Precio desde
$
5,000,000
pesos colombianos
¿Qué incluye?
Reparación bracket autoligado
Reparación bracket autoligado estético
Tratamiento de ortodoncia autoligado
Control ortodoncia autoligado
Muchos más...



Expertos que convertirán una ida al dentista en una experiecia que quisieras volver a repetir

Especialista en Ortodoncias, Ortopedia maxilar y Odontología estética con 25 años de experiencia, en búsqueda de la inclusión en servicios de la salud como el manejo de lenguas y de señas colombianas, dominio del inglés, amante del trail, running y vocación del servicio.
Especialista en Ortodoncias, Ortopedia maxilar y Odontología estética con 25 años de experiencia, en búsqueda de la inclusión en servicios de la salud como el manejo de lenguas y de señas colombianas, dominio del inglés, amante del trail, running y vocación del servicio.
Con mi equipo buscamos mejorar la salud oral y estética de los pacientes, luchando por una odontología inclusiva, motivando a la práctica del deporte como parte fundamental de la salud. Me enfoco a ayudar a deportistas a prevenir y tratar lesiones odontológicas propias de la actividad deportiva.

Especialista en Ortodoncia, Odontología y Ortopedia maxilar
Universidad de UNICOC

Especialista en Odontología estética
Universidad Nacional de Colombia

Odontólogo, Especialista en Rehabilitación oral
Universidad de UNICOC


En Alma Odontología creemos que una gran sonrisa comienza con una gran experiencia. Desde el momento que atravieses nuestras puertas, encontrarás una cálida y amable atmosfera diseñado para que te sientas como en casa.
Ubicado en Bogotá, Colombia, hemos ayudado a cientos y cientos de pacientes a lograr una sonrisa con mayor confianza gracias a nuestros tratamientos de Ortodoncia®. Nuestro equipo de expertos combinan tecnología avanzada con un trato personalizado y completamente humano, para que todo el proceso sea tan agradable como el resultado final.
Esto es lo que vas a esperar de nosotros cuando nos visites:
Cuidado personalizado - planes de tratamiento diseñados en torno a tus objetivos de sonrisa.
Resultados probados - 100% de casos de Ortodoncia® completados con éxito.
La comodidad primero - Un ambiente relajado y acogedor desde el día uno.
Conveniencia - Horarios de citas flexibles y ubicación central.
Claridad - Precios transparentes y planes de financiamiento explicados por adelantado.
Esta es la ubicación de nuestras instalaciones
Encuentranos aquí
Contáctanos
(+57) 315 5384 571
Horario de atención
Lun-Vier: 8 AM – 5 PM
Sábado: 9 AM – 11 AM
Domingo: Cerrado
Encuéntranos en
Cra. 14 #76-11 Cons 503, Chapinero, Bogotá, Cundinamarca, Colombia

Ahorra el traslado en una videollamada con nosotros de 30 minutos donde podrás responder a cualquier duda que tengas. Desde saber si tu tratamiento de Ortodoncia® va a funcionar, hasta como va a lucir tu sonrisa, cuanto va a durar el tratamiento y cuanto va a costar.
☑ Control de idoneidad de la sonrisa - Saber que tratamiento te conviene más
☑ Vista previa de la sonrisa - Ver los resultados potenciales antes de pagar
☑ Tiempo del tratamiento - Aprende las expectativas y cuanto va a durar
☑ Precios y opciones de financiación - Ten una idea clara de todos nuestros costos


Ubicación
Cra. 14 #76-11 Cons 503, Chapinero, Bogotá, Cundinamarca, Colombia
Contáctanos
(+57) 315 5384 571
Hecho por Alma Odontología 2026